LF-TOMO动态多模态胃肠机的隐藏技能释放
发布时间:2023-08-25
搭载LF-TOMO的腾灵II有多强?
常规DR拍摄
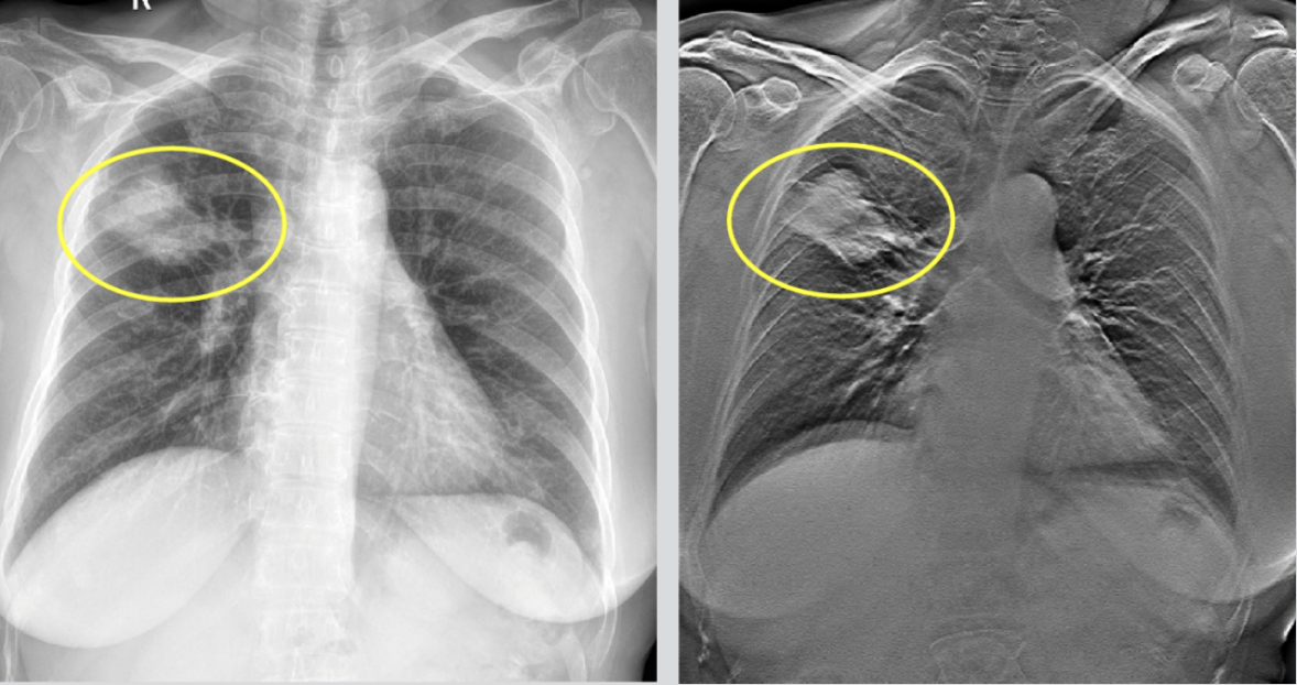
由于二维图像组织重叠和遮挡
对诸多病灶边缘特征及内部结构
无法显示或显示不清晰
导致胸部病灶的漏诊率接近30%
TOMO 断层融合技术
也被称为DTS数字化断层融合技术
X线球管移动并围绕中心旋转
在不同角度连续投照
探测器与患者平行
与球管做同步反向运动
快速采集投影图得到多个角度投影序列
通过反投影算法完成断层图像重建
与CT相比
TOMO 断层融合剂量更低
相当于低剂量MSCT 的十分之一
或常规 MSCT的六十分之一
TOMO断层融合技术
能提供冠状面断层图像
解决常规平片因重叠结构
而无法清晰分辨的部分
尤其是纵隔、心影、横隔及肋骨重叠区

结构显示更加清楚
精准提示胸部病变部位
让诊断更精准
LF-TOMO打破 43cm成像范围限制
达到业界最长扫描范围110cm
支持卧位、站立位的检查
实现负重位下
全脊柱、全下肢的断层融合扫描
更广泛的应用于
脊柱侧弯术后临床评估
骨科复杂部位骨折诊断
肋骨骨折等隐匿性骨折精准筛查
亿万28入口网页版-亿万28网页在线玩-万28官网下载最新版-亿万e网址pg-亿万28pg电子-亿万28赏金女王-亿万28娱乐腾灵II
1.1米大范围断层融合LF-TOMO技术
在融合体层曝光程序控制下
球管对准平板探测器中心做直线运动
平板探测器与球管同步直线运动
快速采集曝光数据
将序列图像按角度重组
再进行反投影重建断层图像
选择不同起始和终末层高度
调整层厚、重叠百分比、调整层间距
重组出任意深度层面图像
110cm的大范围扫描
全脊柱、双下肢断层融合扫描
负重位下COBB角测量更精准
为脊柱侧弯术后提供有效的临床数据
有效降低金属植入物伪影
更好评估手术效果
LF-TOMO断层图像下
金属植入物组织结构清晰可见
可清楚判断植入物的位置、形态
平片胸椎压缩性骨折显示不清
在LF-TOMO图像上显示的较为清晰
平片图像尾椎有遮挡
LF-TOMO断层图像清晰显示尾椎形态
平片无法显示骨骼内部的结构
LF-TOMO图像下可以清晰显示异常骨痂
LF-TOMO大范围融合断层技术
110cm超大范围断层融合成像
满足全脊柱、全下肢疾病精准筛查
及术前方案规划与术后随访观察
剂量更低
诊断更精准
腾灵Ⅱ
中国唯一荣获德国工业设计红点奖与IF奖双料设计大奖产品
胃肠机创新典范之作
超越腾灵的总是腾灵
LF-TOMO更多临床诊断价值应用不止于此