业界超高端无伪口腔CT

星垂视野    无伪影像

锥形束投照计算机重组断层影像设备

Cone Beam Computed Tomography

星垂视野 一览无余

采用高性能CMOS探测器,最大FOV可达16x9cm星垂视野并支持无极可调,最小体素0.05mm。头颅采集模式,支持3s超快速扫描,最小像素99um,保证优质影像快速采集。
16x9

最大FOV

0.05mm

最小体素

CMOS

探测器

3s

超快速扫描

超能去伪 至臻影像

标配专业正畸软件

支持自动描点功能

精准定位
支持局部超清三维显示

局部超清显示、 移动视野摄片

真人正侧位投影,实现CT成像区域无极可调
可根据临床需求任意调整成像区域大小实现局部超清三维显示

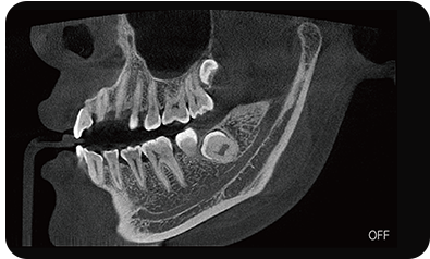
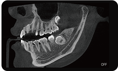
临床样片

有关亿万28入口网页版-亿万28网页在线玩-万28官网下载最新版-亿万e网址pg-亿万28pg电子-亿万28赏金女王-亿万28娱乐
亿万28入口网页版-亿万28网页在线玩-万28官网下载最新版-亿万e网址pg-亿万28pg电子-亿万28赏金女王-亿万28娱乐简介
发展历程
企业社会责任
包豪斯理念
新闻
公司新闻
创新产品矩阵
创新负重锥束 CT 系列
创新动态功能悬吊 DR 系列
创新动态断层多功能胃肠 DR 系列
创新移动动态功能 DR 系列
创新DBT三维断层乳腺机
创新移动动态 C 臂系列
用户服务
客户服务
客户关爱
加入我们
社会招聘
校园招聘
成长在亿万28入口网页版-亿万28网页在线玩-万28官网下载最新版-亿万e网址pg-亿万28pg电子-亿万28赏金女王-亿万28娱乐
联系我们
联系方式
客户留言